All-on-4 and Implant Dentures
Teeth Implants with Fixed & Removable Dentures
For patients with complete tooth loss, traditional dentures often fall short, slipping during speech or making it difficult to enjoy favorite foods. Implant-supported solutions provide the critical stability and retention that standard dentures lack. By anchoring your new teeth to dental implant posts, we eliminate the need for messy adhesives and restore your confidence.
All-on-4 and Implant Dentures in Bangkok
Smile Signature specializes on full jaw implant solutions including the use of All-on-4 and implant dentures. Let’s explore more about our implant denture topics:
- Types of Implant Dentures
- Difference and Benefits of All-on-4 vs Implant Dentures
- Difference between All-on-4 and All-on-6
- All-on-4 Implant Costs
- Why Choose All-on-4 in Bangkok
- FAQs All-on-4
Types of Implant Dentures
There are 2 types of implant dentures
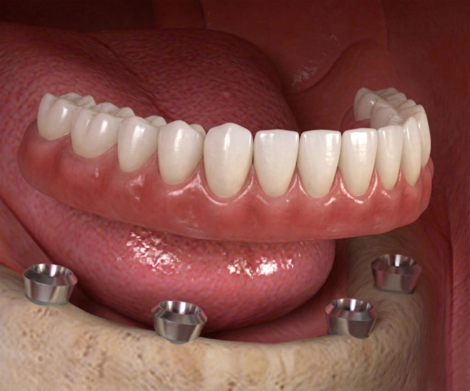
- Removable Implant Overdentures: Removable implant dentures are upgraded from traditional dentures designed to “snap” into place over special attachments using locators, balls, or bars to dental implant posts.
- Fixed Implant Dentures: Often referred to as ProArch or All-on-4, unlike removable implant dentures, the denture is permanently fixed to the implant posts and can only be removed by your dentist.
Removable Dentures
4 Implants + Bar + Removable Dentures
Fixed Dentures
All-on-4 or ProArch + Fixed Denture
Difference and Benefits of All-on-4 vs Implant Dentures
Comparison at a Glance
| Feature | Removable Overdenture | Fixed ProArch (All-on-4) |
| Stability | Snaps over implants and is very stable | Permanently fixed without dentures zero movement |
| Care | Removed daily for cleaning | Use of home-use waterjets to clean fixed dentures under gums. Periodic removal of dentures by prosthodontist for professional clean |
| Bone Density | Requires moderate bone | Maximizes bone that often skips bonegrafting |
| Biting Force | Improved compared to traditional dentures without implants | Near-natural strength bite |
1. removable IMPLANT DENTURES
Removable implant dentures are economical, easy to clean for long-term use. The treatment is done in 2 phases. Each phase staying for about 10 to 14 days.
Below is a step-by-step guide on the implant-supported dentures process:
- Treatment Planning & Consultation. We confirm your personalized treatment plan and take initial impressions for your provisional dentures if they are required.
- Surgical Implants Placement. The dental implants are surgically placed, and your temporary dentures are delivered and fitted for immediate use.
- Osseointegration Healing Period. A healing period of approximately six months is required to allow the implants to fully integrate with your jawbone.
- Checking of Implants. On your return trip. We perform x-ray imaging to verify successful healing before taking precision impressions for your permanent set of dentures.
- Fitting of Denture. Your choice of bar, ball, or locator attachments is installed over the implants, and your final dentures are securely fitted.
- Final Adjustments of Denture. We conduct final re-checks and minor adjustments to ensure your new smile is comfortable and functional.
1. BEFORE THE PROCEDURE
During your first visit, your dentist asks about your concerns and discuss your treatment options for missing teeth restorations. A panoramic x-ray and/or CT Scan is taken. Using the x-ray imaging, your dentist confirms your treatment plan and informs you on other potential treatments required for a successful outcome. If you require temporary dentures to wear during the healing period back home after implant post placement, your dentist may take a tooth impression either prior to installing the implants or after the implant surgery depending on your dentures construct and dentist recommendations.
2. INSTALLING THE TOOTH IMPLANTS
The first step is installing tooth implants is embedded the implant posts into the jaw bone. In this illustration, 4 implants are placed into the jaw bone. After implant placements, your dentist makes a re-check appointment about 5 to 7 days later to re-check the implant wound healing.
IMPLANTS HEALING PERIOD
The dental implant posts are left to heal for at least 2 to 6 months. During this period, the implant posts fuses with the jaw bone called osseointegration. Certain range of higher range implants have special active surfaces for bone integration to implant. Temporary dentures are worn during the healing period avoiding direct biting pressure over the implant posts as it heals.
3. ATTACHING THE OVERDENTURES
During your return visit, your dentist takes a panoramic x-ray to check if the implant posts is successfully integrated with the jaw bone. Your dentists takes tooth impressions to construct your permanent dentures in the dental labs. On its delivery, locators, balls or bars are screwed into the implant posts with the dentures snapped over securely over.
4. ADJUSTMENTS AND RE-CHECKS
After receiving your final dentures, your dentist makes additional visits to double-check that the dentures fit properly and comfortably. Implant supported dentures provide better retention and comfort.
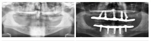
2. ProArch (All-on-4) Fixed Dentures
ProArch is Straumann’s treatment concept for immediate temporary restorations in edentulous patients. Whilst All-on-4 is Nobel Biocare’s tradename treatment concept for its immediate function fixed dentures. Straumann and Nobel Biocare are established global implant brands that has been manufacturing and producing implants for over 30 to 50 years*
The treatment concept is designed specifically for full-arch rehabilitation. And unlike traditional methods, this immediate concept combines the surgical and restorative phases into a single treatment phase period. Fixed provisional dentures are attached to the implants posts within days of the surgical surgery. By tilting the posterior implants, available dense bone typically in the anterior jaw is used to hold the implant post that often assists in eliminating the need for complex bone grafting at the posterior area. ProArch or All-on-4 is a solution option for patients with posterior bone loss.
For patients transitioning from failing natural teeth to a full-mouth restoration, ProArch and All-on-4 offers a quick 2 to 3 weeks treatment. After a healing period of approximately 6 months or more, the initial dentures is usually replaced with a longer-term set of denture.
Below is a step-by-step guide to the All-on-4 implant process :
- Treatment Planning & Consultation. We confirm your personalized treatment plan and take precision impressions for your new fixed dentures (fixed hybrid bridge).
- Surgical Implants Placement. Any necessary extractions are performed, and the dental implants are strategically placed in the jawbone.
- Fitting & Final Adjustments of Denture. Your new fixed denture (hybrid bridge) is carefully fitted and adjusted for alignment and a natural look.
- Immediate Function. Enjoy your new smile All-on-4 implants right away.
- Optional Long-Term Enhancement. Once implants are fully healed, you may choose to return to upgrade your fixed denture to a long-lasting metal-frame denture.
1. BEFORE THE PROCEDURE
During your first visit, your dentist discuss and determines if that ProArch (All-on-4) concept is suited for your case. A panoramic x-ray and CT Scan is taken to confirm the treatment plan with you. Teeth impression is taken for a study model and prosthetic planning. If there are existing teeth, pre-planning is done to remove them and position the implant posts.
2. TEETH EXTRACTIONS & IMPLANT PLACEMENT
During the surgical visit, remaining teeth are extracted and the dental implant posts is embedded into the jaw bone. Your dentist may take the impression during the same surgical placement visit or shortly after implant placement (within 1 to 3 days when bleeding has stopped) to send off to the dental lab for your fixed dentures to be constructed.
3. CONSTRUCT AND ADJUSTMENT OF DENTURES
On delivery of the dentures framework, it is tried on. Teeth will then be added onto the framework. You may require several adjustments visits before your dentists fully completes a comfortable and correct fit. Once the hybrid denture is properly made, it is secured into position with screws.
4. RE-CHECKS AND MAINTENANCE
The ProArch (All-on-four) implant with fixed denture is used for a period of time. A second set with titanium framework is typically done to replace the initial denture for longer-term wear when gums and bones have fully healed.
The area between your gums and fixed dentures will need to be cleaned daily to prevent gum inflammation. Your should also return to your dentist for periodic cleaning, checkup and adjustments.
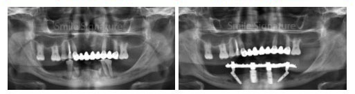
All-on-4 vs All-on-6
The number of dental implants recommended for your full-arch restoration is not a one-size-fits-all solution. It is determined based on your unique bone density and biting force load. Generally, the upper jaw requires a higher number of implants, typically 5 to 6 posts because the maxillary bone is naturally less dense. In contrast, 4 implants are usually sufficient to securely support a fixed hybrid denture.
To determine the precise configuration for your smile, your dentist uses 3D CT scans and X-rays to map bone structure and recommend the specific implant-supported system that ensures long-term stability and comfort.
Upper Jaw
All-on-6 on Upper Jaw
Lower Jaw
All-on-4 on Lower Jaw
ALL-on-4 Prices
Listed All-on-4 fees on dental implants packages include surgery fees, 4 dental implant posts, 4 abutments and a fixed all acrylic dentures done under local anesthesia. If All-on-6 is chosen, this costs will be for 6 implants, 6 implants and a fixed all acrylic dentures.
Dental implant PricesImplant Dentures Prices
Implant dentures fees are paid in 2 phases or over 2 trips at Smile Signature. During the 1st trip, only the cost of the implant posts is incurred. On your return trip, the reminder cost for the implant. Read more in section of implant dentures prices in Bangkok under Full Jaw Implant Treatments.
Full Jaw implant InfoFor full jaw implants, your dentist may recommend a global or higher specifications of implant brand or system to ensure that your local prosthodontist back is able to do post-care maintenance. If you have compromised bone, your dentist may recommend immediate load implants that has special active implant surface to improve faster osseointegration and increase your successful rates.
The most commonly used brands of implants for ProArch (All-on-4) are Straumann BLX implants and Nobel Biocare Active Implants. More affordable brands include NeoDent and SIC implants. We do not use Korean implant brands for All-on-4 implants.
If opting for implant surgery under general anesthesia or IV sedation, cases will be referred to alliance, BIDH Dental Hospital.
All-on-4 Implants in bangkok
- The implantologist : The surgical expert dedicated to precise surgical placement of implant posts. They ensure optimal positioning and long-term osseointegration.
- The Prosthodontist : The restorative architect who design your final dentures and checks that bite occlusion of your new teeth is not just functional but comfortable and esthetically natural.
Why International Patients Choose Our Clinic for ProArch All-on-4 in Bangkok?
Top reasons why international patients choose Smile Signature for All-on-4 implants in Bangkok:
- By using a specialist-led team rather than general dentists, we drastically reduce the risk of complications and ensure superior aesthetic outcomes.
- Experienced and established dental clinic group that has successfully treated more than 150 ProArch (All-on-4) cases for patients across the globe.
- Quality-based and safe clinical protocols at Smile Signature are designed for the traveling patients. We use certified global implant brands and follow international dental treatment protocols.
- Our dedicated laboratories allow for significant faster lab turnarounds and real-time esthetic adjustments to reduce your treatment time.
- As a large dental network group, we have a large team of dentists for efficient schedule and multiple accessible locations in Bangkok.
- Positive international patient reviews over past 20 years shows proven trust for consistent and affordable implant treatments at Smile Signature.
All-on-4
Lower Jaw
All-on-5
Upper and Lower Jaw
All-on-5
Upper and Lower Jaw
All-on-5
Upper and Lower Jaw
FAQs on All-on-4
All-on-4 is for candidates who are either fully edentulous (have no teeth) or has “failing” teeth whereby remaining teeth are severely decayed or loose due to gum disease. Although, All-on-4 requires less bone than traditional implants, a minimum volume is require and active periodontal disease must be first treated. Patients should not have be immune compromised to enable healing. If opting for this solution, you cannot smoke at least 2 weeks before and 3 months after surgery. Additionally, individuals with bruxism or are severe grinders has increased risks.
You will receive a temporary fixed dentures immediately or almost immediately after dental implants placement during the same period of time. It may not necessarily be on same day and is dependent on your dentists protocols. This temporary fixed denture is typically upgraded 6 months after healing.
Because All-on-4 dentures are fixed, you will need to get food from underneath the dentures (or bridge) out and take care of gums around the implants by cleaning with tools like waterpiks or superfloss daily. Bi-annual visits to your prosthodontist for professional check and cleaning is advised.
Listed cost All-on-4 package on Smile Signature website include a fixed dentures fitted onto implant posts that is completed within 1 trip. All-on-4 treatments is more complicated to construct and carries higher treatment risks as compared to standard implant placement. Your dentist may advise you on higher specifications implant brands and systems with better osseointegration surface to improve success rates.
Source of Page
