Full Jaw Implants
No Teeth. Edentulous Jaw. Get a New Set of Teeth.
Smile Signature is a leading dental implant clinic for full jaw replacement. Our dentist provides you with a new confidence level. Dental implant fees at Smile Signature is accessible and affordable. Our qualified and highly experienced team of implantologists and prosthodontists has been restoring missing teeth with implants for over 20 years. Our experienced and qualified team of implantologists has placed thousands of dental implants.
Patients with no teeth regain their function to eat, bite and chew properly once again.
Full Jaw Implants at Smile Signature
Smile Signature specializes on full arch and full mouth dental implant solutions for patients with no teeth. Explore more about our full jaw implant topics:
- Types of Full Jaw Implants
- Benefits of Full Jaw Implants vs Dentures
- Full Jaw Implant Prices in Thailand
- Full Jaw Implant Dentists
- FAQs on Full jaw Implants Options
Full Jaw Implants Options
Full Jaw Missing Teeth
If there are no teeth on upper or lower jaw, there are several prosthese used to replace full jaw missing teeth:
2. Fixed Dentures Over Implants
4 to 6 implant posts are inserted and a hybrid denture is fixed over the implant posts. It is also All-on-4 implants or ProArch implants.
Benefits of Dental Implants
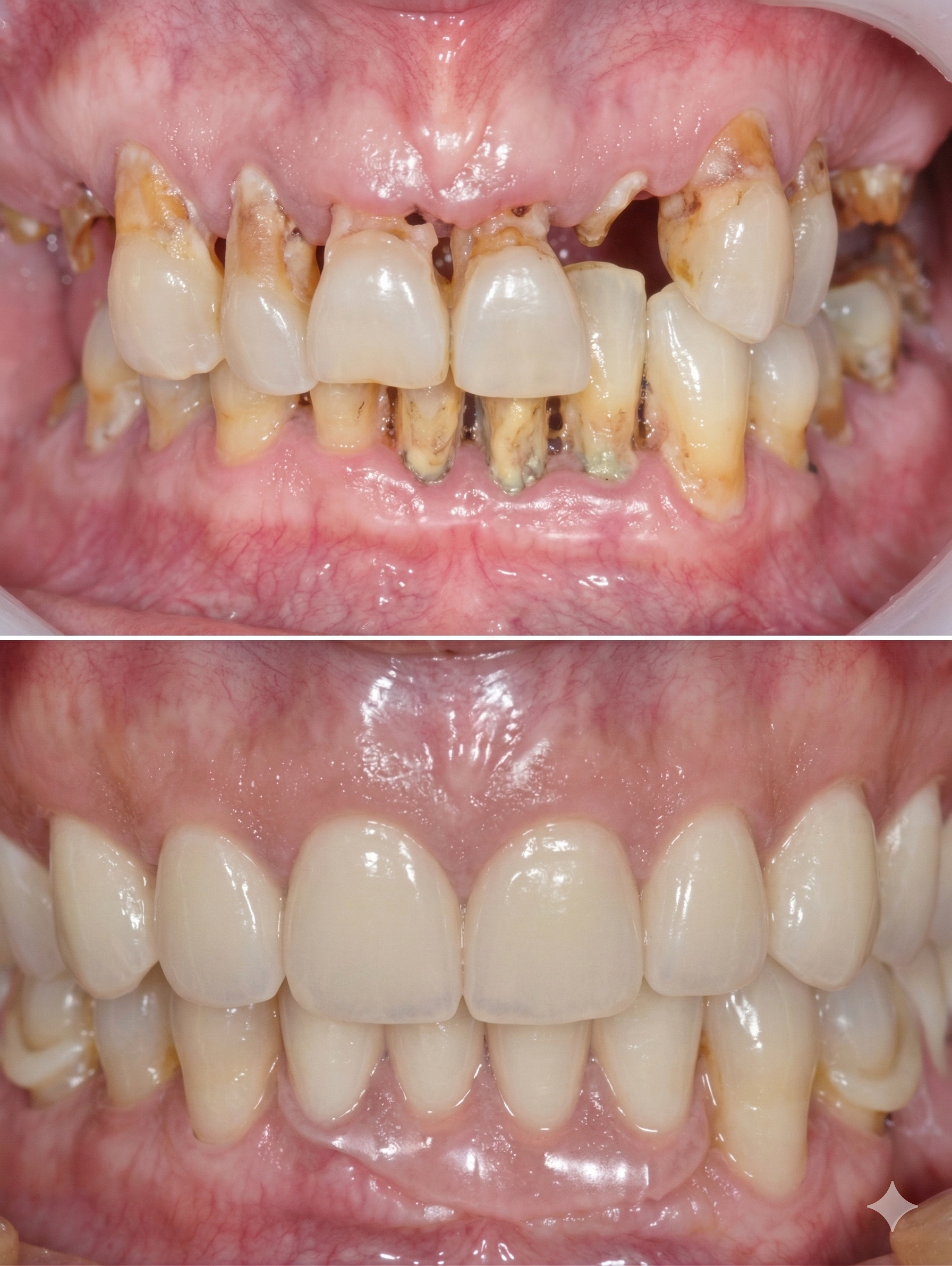
Full jaw dental implants are often referred to as full arch or full mouth reconstructions. For patients who have lost most or all of their teeth or have severely damaged teeth requiring removal, full jaw implants offers options for a new set of teeth that does not slip or slide with wearing removable full dentures.
Dental implants are permanently fixed to your jawbone offering a foundation that mimics natural tooth roots or as anchors for dentures retention.
Implants vs Full Dentures
There are many benefits of full jaw implants as compared to having full overdentures.
- Full jaw implants is anti-aging in that it preserves your jawbone, prevents bone loss and therefore maintains facial structure to stop the “sunken” facial appearance often seen with wearing long-term denture.
- Restores chewing and bite force without concern of teeth slipping or causing pain. Better chewing enables better digestion and a more varied, healthy diet.
- Immediate stability and confidence. Because implants are fixed, they do not move, click or require adhesives. This enables clearer speech and no lisps.
- Full jaw implants are durable. While the prostheses over implants may need adjustment or maintenance due to wear and tear, the implant foundation remains permanent.
Comparison at a Glance
| Feature | Full Jaw Implants | Traditional Dentures |
| Stability | Permanently fixed. Less or no movement | Removable. Can slip, click or fall out |
| Palate Coverage | No palate coverage. Feels and tastes natural | Covers the roof of the mouth |
| Bone Health | Actively prevents bone resorption | Jawbone loss over time |
| Maintenance | Brush and floss like natural teeth | Must be removed and soaked nightly |
| Bite Strength | Near-natural (80%+) | Significantly reduced (20 – 30%) |
Implant Bridges
Implants act as individual new tooth roots
Implant-supported Dentures
Implants retents and anchors dentures
Traditional Dentures
Needs adhesive to hold dentures in place
Full Jaw Implant Prices
Dental implant fees at Smile Signature are transparent and standardized. Treatment fees are displayed on our pricing list.
Under dental implant packages, our listed prices display dental implant treatments in 2 stages or trips. The whole dental implant process usually spans around 6 months and is paid in 2 installments. During your first stage, the implant post is embedded into jaw. The cost for implant posts is charged that covers surgery fees, local anesthesia and healing cover.
Implant posts are left to heal for about 2 to 6 months. During the second stage, the full jaw prostheses (dentures, full bridge or hybrid denture) fitted over the implant posts. The cost of the prostheses is charged for at this stage for tooth impression and sent to the dental labs to be constructed.
Implant prices are based on number of implants inserted, the brand and range of your chosen implant system. If your full jaw implant option is a 2 implant-supported dentures, 2 implant posts and dentures will be calculated based on your chosen implant brand. For a 4 implant-supported denture, 4 implants and dentures is calculated.
For implant full bridges, the costs is calculated from number of implants inserted and the additional number of pontic crown is used within the full bridge. A pontic crown is an artificial tooth in a dental bridge that floats between 2 implant crown anchors to fills the space where a tooth is missing. For example, for a based that inserts 4 implant over a bridge of 10-unit crowns. There is 6 pontic crowns (10-units minus 4 implants = 6 pontic crown). The calculated cost is (4 implants x cost per implant) + (6 x cost per pontic).
Dental Implant FeesFull Jaw Specialists Implant Dental Clinic
New Set of Teeth with Implants and Fixed Dentures. Affordable All-on-4 Specialists.
Missing or severely damaged teeth do more than affect your smile, it inhibit your ability to eat comfortably and speak clearly. Smile Signature’s well-established dental implant clinics offers dental implant solutions to permanently replace missing or severely damaged teeth. Implants feel and function similar to having a new tooth. And is a lifelong investment that does not decay.
At Smile Signature dental implant clinic, our team of highly experienced prosthodontist and implantologist specializes on full jaw replacement implants. For full jaw missing teeth, dental specialists qualified and trained on bite occlusion will provide you the assurance for successful outcomes, proper bite and a comfortable long-term use of your prostheses. Our qualified implantologist and prosthodontists have done a large number of ProArch (All-on-4) cases as below. Our dental clinics have helped many international patients from Australia, New Zealand, Russia and USA return their confidence after putting off missing teeth or damaged teeth for a long time.
Dedicated dental labs at our dental implant clinics provides better quality esthetics and quicker treatment timings
Dental Implant Dentists
Smile Signature dental clinics use a dental specialists system to ensure that surgical and complex dental treatment are always treated properly by qualified and experienced dentists to assure successful results.
As dental implant treatments are done in 2 stages. When you come in for dental implant treatment, you may receive consultation by a prosthodontist that walks through with you various options on missing gaps solutions. Should you decide to undertake dental implants, your prosthodontist may refer you to an implantologists or oral surgeon to perform the first stage implant post surgery. Thereafter when the implant posts is healed, your prosthodontist then continues work over the implants.
Implantologists are dental experts trained on surgical placement of implant posts. They check bone condition, soft tissue nerves to ensure implant posts are properly positioned and do not hit any nerves. Prosthodontists are specialists that construct crowns, bridge and dentures. Aside from doing prostheses over natural teeth, prosthodontists also specialized in building prosthetic restorations over implant posts. In Thailand, all general dentists are able to perform dental implant and prostheses treatment. However, for successful and a good esthetic outcome, your implant treatment at Smile Signature is treated by a qualified implantologist and prosthodontist. This reduces risks for complications and improves restorative look as treatment are by skilled, qualified and experienced specialist and not general dentists.
Our team of dentists at Smile Signature dental implant clinic composes of highly qualified dental specialists in the field of implantology and prosthetics. Many having placed thousands of implants and prostheses for our patients who travel into Thailand for dental implant treatments.
FAQ on Full Jaw Implants
Smile Signature has a highly experienced implant dentists that has treated a large number of full jaw implants over the past 20 years. It provides international patient services with quality and sterilization standards that assures patient safety and successful treatment outcome. Smile Signature is a trusted clinic network group that offers affordable full jaw implant options.
All our dental implant cases are performed by experienced, qualified, and skilled dentists. Implant surgery is performed by a implantologist or oral surgeon. Prostheses over implants are treated by a prosthodontist. A specialist referral system ensures your full jaw implant treatment is properly diagnoses and treated for successful outcome. We do not expose implant cases to general dentists.
Clinical studies shows that dental implant has a high survival rates ranging over 91%*. Whilst, Straumann implants has a global average benchmark of 97% for its implants*
Implant success rate will vary and is based on each dental clinic’s dentist skills, chosen implant brand and standards. Most Thai dental clinics do not track or monitor implant rates.
At Smile Signature, our implantologists advocate the use of Straumann implants for its proven implant successful rates. As a dental clinic network group that follows quality-based international standards, we track our surgical infection rates (SSI) and implant success rates. Smile Signature clinics has consistently met or gone benchmark of over 95% for successful implant cases. With most unsuccessful cases attributing mainly to periodontal maintenance or bone loss issues.
Once dental implants are securely fused into jaw bone, they are designed to last for a lifetime.
The prosthetic dentures or bridge attached implant posts may however need maintenance or replacement from natural wear and tear, much like any natural teeth might. Depending on what is your final prostheses over implants, fixed full dental bridges will usually last longer than dentures. Metal frame dentures will out-last acrylic dentures. Permanent prostheses typically last 10 to 15 years but once again depends on individual use and the specification of prostheses material to start with.
Implant Dentures – Lower Jaw
4 implants + Removable Dentures
Implant Dentures – Upper Jaw
4 implants + Removable Dentures
All-on-4 – Lower teeth
4 Implants + Fixed Dentures
Why Smile Signature Dental Implant Clinic?
Smile Signature is an established dental clinic network group that offers affordable dental implant solutions. With several dental clinic locations, our offices are accessible by public transport via the BTS skytrain and underground MRTA trains. English-speaking dentists and customer care at our international patient offices is experienced as one of the first dental providers in Thailand catering for dental tourism. Patients that come to Smile Signature dental clinics have have peace of mind on receive safe, clean and successful outcomes as our clinics follows quality ISO and TDCA standards.
Established Dental Clinic Network Group
Servicing patients for over 20 years
Affordable Treatment Fees
Fees are standardized & transparent
Accessible Locations
Clinics nearby public trains
English-Speaking Dentists
Dentists and customer care speaks English & Thai
Award-winning Dental Tourism Providers
Experienced team for quick and successful treatments
Safe & Quality Treatments
Follows ISO standards on dental service quality management & cleanliness
Page Sources:
- 10-Year Survival and Success Rates of 511 Titanium Implants with a Sandblasted and Acid-Etched Surface: A Retrospective Study in 303 Partially Edentulous Patients, Strauamnn
- Evaluation of Survival Rates of Dental Implants and the Risk Factors: A Retrospective Follow-Up Study, NIH
