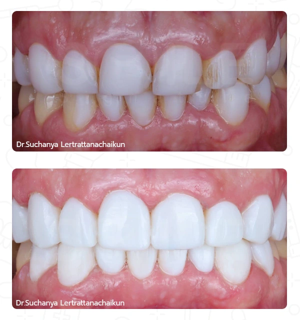
Dental Veneers
Below are some cases by prosthodontists and cosmetic dentists with dental veneers and bridges to close missing teeth, rebuild worn-down teeth and transform teeth irregularities into a new smile.
** Please note that cases are for illustrative sample reference only. These cases have been treated by our dentists for our patients.
We use cookies to improve performance. and good experience using your website You can study the details at Privacy Policy and can manage your own privacy by clicking settings