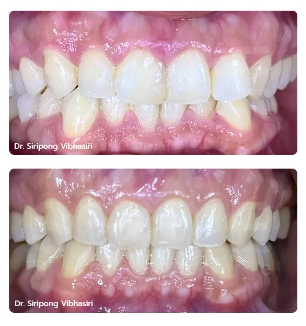
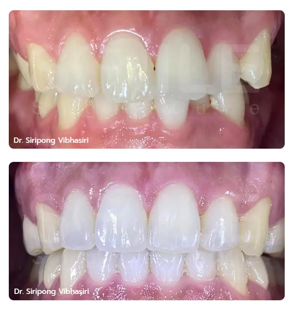
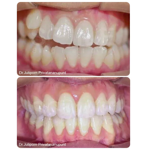
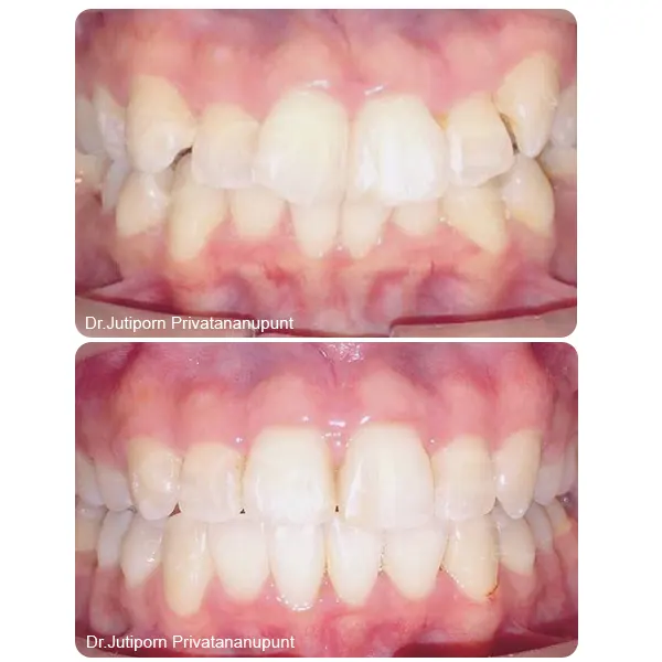
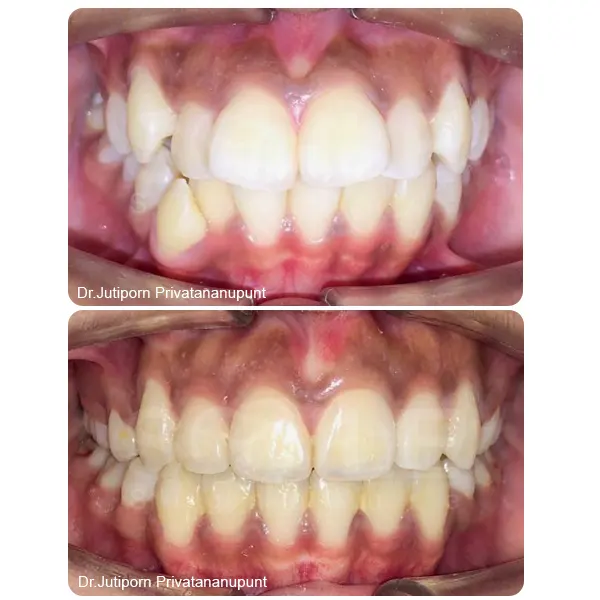
Beautify : Metal Braces, Ceramic Braces & Invisalign
Straighten Your Teeth for a Beautiful Smile.
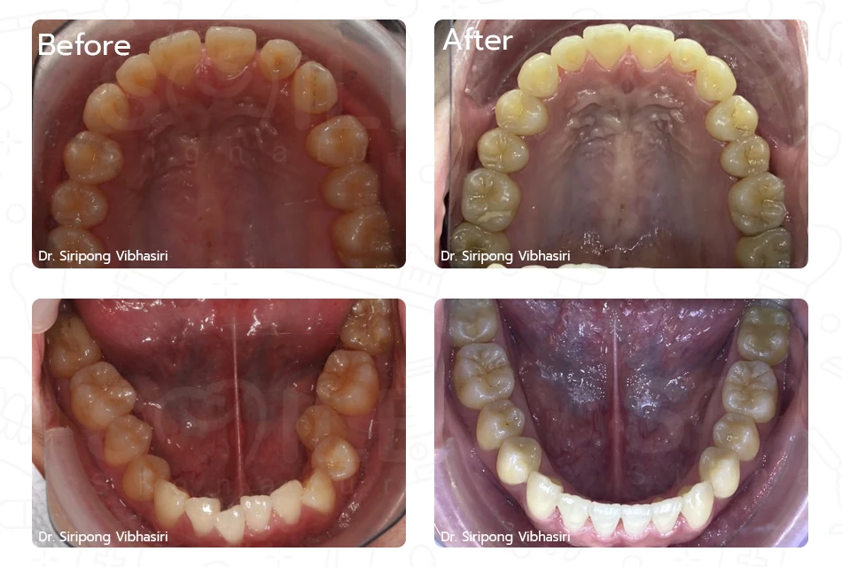
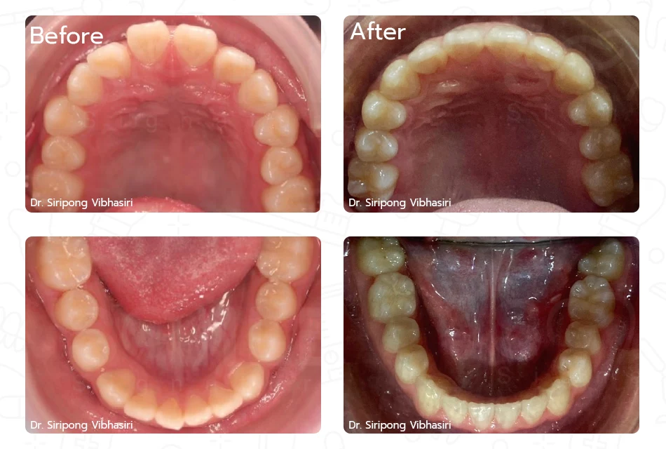
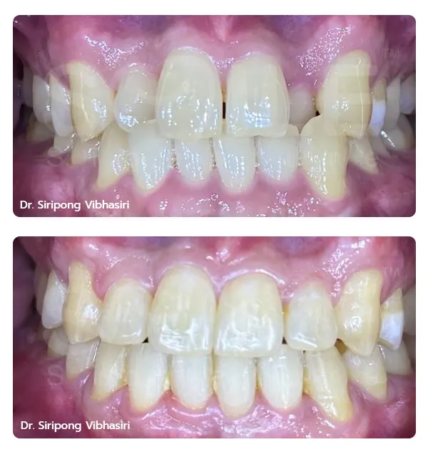
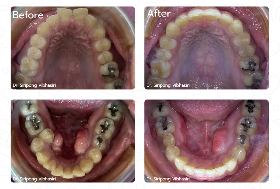
Metal Braces
** Please note that cases are for illustrative sample reference only. These cases have been treated by our dentists for our patients.
