Back to CaseGallery

Teeth Whitening – In office

In Just One Hour. A Whiter Smile.

Zoom Whitening (In-office)

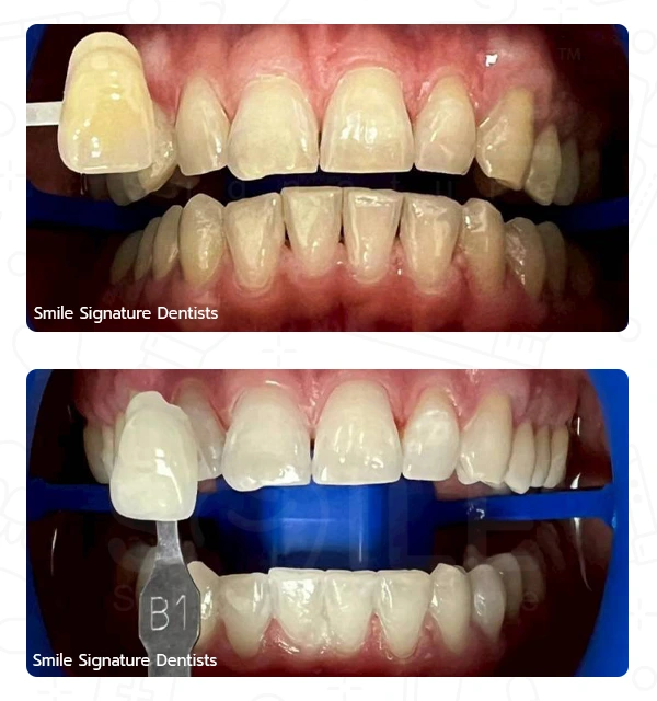
Before-After Teeth Whitening Smile Dentists Sukhumvit

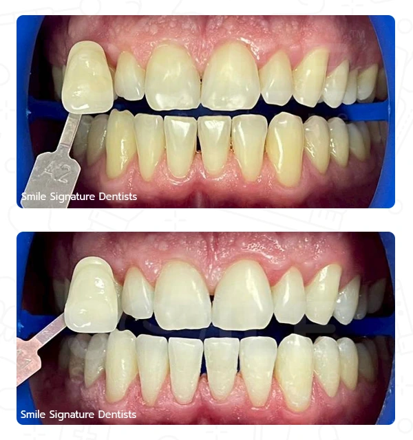
Cool Light (In-office)

Before-After Teeth Whitening Smile Dentists Sukhumvit

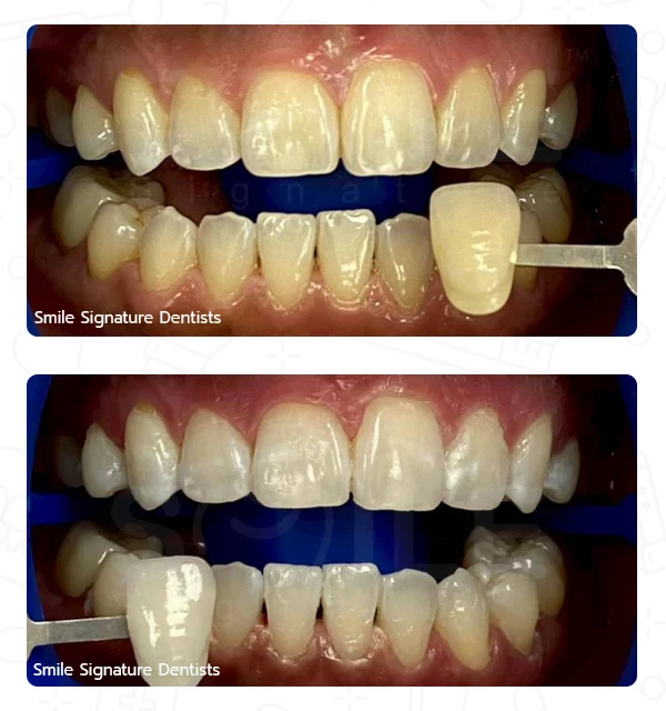
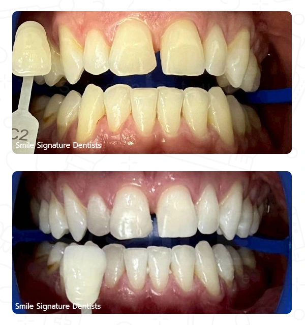
Before/After Cool Light Teeth Whitening

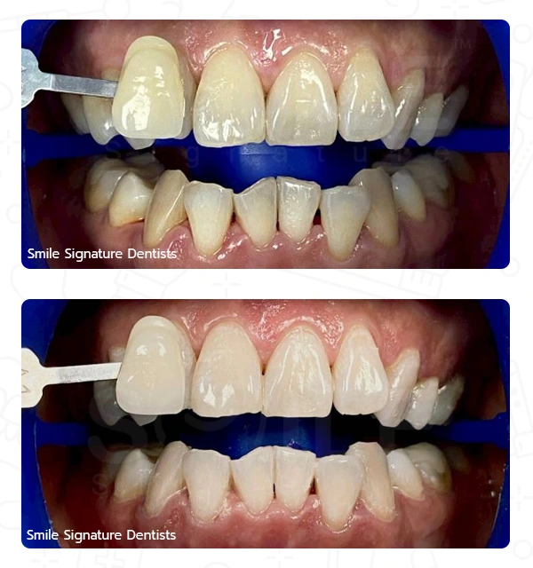
Before/After Cool Light Teeth Whitening

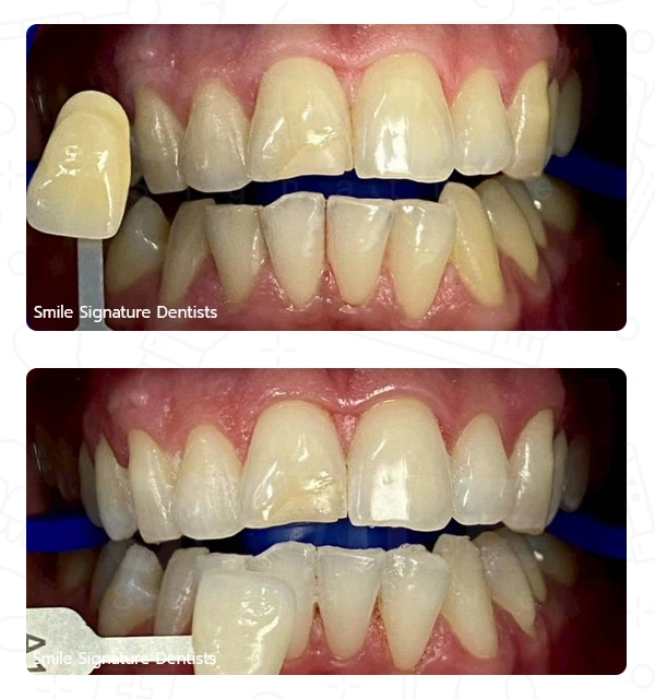
Before/After Cool Light Teeth Whitening

** Please note that cases are for illustrative sample reference only. These cases have been treated by our dentists for our patients.

TOP