ทพ. ณัฐพงษ์ อุดมลาภธรรม ทันตแพทย์ผู้ให้การรักษาสาขาทันตกรรมจัดฟัน จัดฟันแบบใส Invisalign Doctor ประจำคลินิกทันตกรรม สไมล์ ซิกเนเจอร์ สาขาอเวนิว รัชโยธิน (ตั้งอยู่ที่ The Avenue Ratchayothin) และคลินิกทันตกรรมพันธมิตร เดนทัล แพลนเน็ต สาขาพหลโยธิน (อยู่ใกล้กับรถไฟฟ้า BTS สถานีพหลโยธิน 24 ทางออกที่ 1 ตั้งอยู่ที่ ด้านหน้า ศุภาลัย ปาร์ค พหลโยธิน 21)
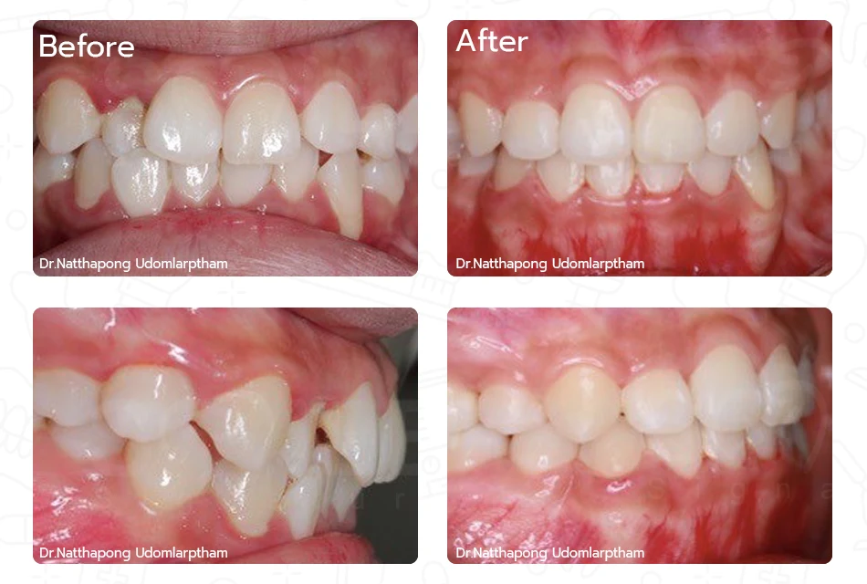
นอกจากการจัดฟันแบบปกติ และการจัดฟัน invisalign คุณหมอไอซ์ยังให้การรักษาจัดฟันร่วมกับผ่าตัดขากรรไกรอีกด้วย หากคนไข้ท่านใดมีปัญหาดังกล่าว หรือต้องการทราบรายละเอียดของการรักษา สามารถเข้ามาพบและนัดปรึกษาคุณหมอได้เลยค่ะ ดูภาพการรักษาเกี่ยวกับเคสจัดฟันใส invisalign และการจัดฟันร่วมกับผ่าตัดขากรรไกร ของคุณหมอณัฐพงษ์ (ที่นี่)
ทันตแพทย์ ณัฐพงษ์ อุดมลาภธรรม DDS., MSc.,
ความเชี่ยวชาญ
เฉพาะทางสาขาทันตกรรมจัดฟัน และทันตแพทย์จัดฟันแบบใส Invisalign Doctor
ข้อมูลการศึกษา
- ทันตแพทยศาสตรบัณฑิต มหาวิทยาลัยมหิดล (เกียรตินิยมอันดับ 2)
- Master Degree in Dental and Craniofacial Science (Orthodontic)
Chang Gung University, Taipei, Taiwan - Certificate in Residency Training in Craniofacial Orthodontic, Chang Gung Memorial Hospital, Taipei, Taiwan
ได้รับการรับรองและความสำเร็จ
- Certificate Training in Invisalign
ภาษา
- อังกฤษ, ไทย
A title
Image Box text
A title
Image Box text
A title
Image Box text
A title
Image Box text
