การจัดฟันครั้งแรก อาจมาพร้อมคำถามมากมาย ไม่ว่าจะเป็น จัดฟันมีกี่แบบ แบบไหนเหมาะกับเรา เจ็บไหม หรือค่าใช้จ่ายเท่าไหร่ การทำความเข้าใจประเภทการจัดฟัน ขั้นตอน และวิธีดูแล จะช่วยให้ตัดสินใจได้ง่ายขึ้น บทความนี้จะพาทุกคนทำความเข้าใจง่ายๆ ไปพร้อมกัน
สารบัญความรู้เกี่ยวกับจัดฟันครั้งแรกต้องรู้อะไรบ้าง

การจัดฟันมีกี่ประเภท? เลือกแบบที่เหมาะกับคุณ
การเลือกประเภทการจัดฟันที่เหมาะสมควรพิจารณาจากหลายปัจจัย ทั้งจากสภาพฟันของแต่ละบุคคล แผนการรักษาที่ทันตแพทย์แนะนำ และความต้องการส่วนตัว ไม่ว่าจะเป็นเรื่องของความสวยงาม ความสะดวกสบาย หรือค่าใช้จ่าย
ในปัจจุบัน การจัดฟันมีตัวเลือกมากมายที่ตอบโจทย์ความต้องการและไลฟ์สไตล์ที่แตกต่างกันไป การจัดฟันครั้งแรกการทำความเข้าใจเกี่ยวกับวัสดุแต่ละประเภทจะช่วยทำให้ตัดสินใจได้ง่ายขึ้น

A title
Image Box text
1. จัดฟันโลหะ (Metal Braces)
จุดเด่น : สามารถแก้ไขปัญหาฟันที่มีความซับซ้อนได้เกือบทุกรูปแบบ ทั้งฟันซ้อน ฟันเก ฟันห่าง หรือปัญหาการสบฟัน อีกทั้งยังมีความสวยงามตามแฟชั่น
วัสดุ : ใช้เครื่องมือที่ทำจากวัสดุโลหะ 3M Unitek MBT Braces
กระบวนการทำงาน : ทันตแพทย์จะใช้ลวดจัดฟันเป็นแรงหลักในการดึงฟัน โดยลวดนี้จะร้อยผ่าน Bracket ซึ่งเป็นวัสดุโลหะ 3M ชิ้นเล็กๆ ที่ติดอยู่บนฟันแต่ละซี่ และมี O-ring หรือยางวงเล็กๆ ช่วยยึดลวดให้ติดกับ Bracket เอาไว้ ลวดจะออกแรงดึงฟันอย่างต่อเนื่องและค่อยเป็นค่อยไป ทำให้ฟันค่อยๆ เคลื่อนที่ตามแผนการรักษา
ข้อจำกัด : เนื่องจากเป็นการจัดฟันที่ใช้ลวดในการเคลื่อนฟันให้เข้าที่ จึงจำเป็นต้องเข้าพบทันตแพทย์เพื่อปรับเครื่องมือทุกเดือน
ระยะเวลา: 2-3 ปี และพบทันตแพทย์ทุกเดือน
ข้อมูลเพิ่มเติม : จัดฟัน ดัดฟัน มีกี่ประเภท และวิธีการดูแลรักษาระหว่างทำฟัน (คลิก)

A title
Image Box text
2. จัดฟันเซรามิก (Ceramic Braces)
จุดเด่น : มีลักษณะโปร่งแสง ทั้งสี Bracket และสียาง O-ring สีเหมือนฟันธรรมชาติ ทำให้เป็นที่นิยมสำหรับผู้ที่มีความไม่มั่นใจ หรือไม่ต้องการให้ผู้อื่นเห็นเครื่องมือจัดฟัน
วัสดุ : ใช้เครื่องมือที่ทำจากวัสดุเซรามิก 3M Clarity Braces สีใกล้เคียงกับฟัน
กระบวนการทำงาน : ใช้ลวดจัดฟันเป็นแรงหลักในการดึงฟันเช่นเดียวกับการจัดฟันโลหะ ความแตกต่างอยู่ที่วัสดุ Bracket ลวดและสียาง O-ring ที่มีสีใกล้เคียงฟัน
ข้อจำกัด : เนื่องจากเป็นวัสดุโปร่งแสง อาจจะทำให้คราบอาหารและสีติดได้ง่าย ดังนั้นจำเป็นต้องทำความสะอาดให้ดี
ระยะเวลา: 2-3 ปี และพบทันตแพทย์ทุกเดือน
Damon Q
เป็นวัสดุโลหะ
Damon Clear
เป็นวัสดุจัดฟันสีขาวขุ่น เหมือนสีฟัน
3. จัดฟันดามอน (Damon System / Self-Ligating Braces)
จุดเด่น : ตัว Bracket จะมีตัวล็อกลวดจัดฟันในตัว โดยไม่ต้องใช้ยาง O-ring ทำให้ฟันสามารถเคลื่อนที่ได้อย่างนุ่มนวล เจ็บน้อยกว่าและทำความสะอาดง่ายการจัดฟันโลหะ
วัสดุ : มี 2 แบบ
1. Damon Q เป็นวัสดุโลหะ
2. Damon Clear เป็นวัสดุจัดฟันสีขาวขุ่น เหมือนสีฟัน
กระบวนการทำงาน : ใช้ระบบ self-ligating ที่ Bracket จะล็อกลวดได้เอง ไม่ต้องใช้ยางรัดลวด ทำให้ฟันค่อยๆ เคลื่อนที่ด้วยแรงน้อยและต่อเนื่อง ลดความเจ็บปวด และช่วยให้การรักษาเสร็จเร็วขึ้นเมื่อเทียบกับการจัดฟันโลหะแบบทั่วไป
ข้อจำกัด : ไม่เหมาะสำหรับผู้ที่ยังต้องการความสวยงามตามแฟชั่น
ระยะเวลา: 1-2 ปี และพบทันตแพทย์ 2 เดือน/ครั้ง

A title
Image Box text

A title
Image Box text
4. จัดฟันแบบใส Invisalign (Clear Aligners)
จุดเด่น : อุปกรณ์ที่ใสจนไม่เห็น สามารถถอดออกได้เมื่อต้องการ ถอดทำความสะอาดง่าย ไม่ก่อให้เกิดปัญหาฟันผุขณะจัดฟัน และยังทราบแผนการรักษาและระยะเวลาชัดเจนผ่านระบบคอมพิวเตอร์ 3D
วัสดุ : วัสดุ SmartTrack ซึ่งเป็นพลาสติกใสที่มีความยืดหยุ่น ปลอดภัยและออกแบบมาเฉพาะเพื่อการจัดฟันโดยเฉพาะ
กระบวนการทำงาน : ทันตแพทย์จะใช้เครื่องสแกน iTero แบบสามมิติ เพื่อนำข้อมูลไปวางแผนการรักษาอย่างละเอียด แล้วสร้างชุดเครื่องมือใส (Aligners) เฉพาะบุคคล ผู้ป่วยจะใส่และเปลี่ยนชุดใหม่ทุก 1–2 สัปดาห์ โดยแต่ละชุดได้รับการออกแบบให้ค่อยๆ ขยับฟันทีละขั้น จนฟันเคลื่อนเข้าสู่ตำแหน่งที่ต้อง
ข้อจำกัด : ต้องมีวินัยในการใส่ Aligner อย่างน้อย 20–22 ชั่วโมงต่อวัน เพื่อให้การเคลื่อนฝันเป็นไปตามแผน และค่าใช้จ่ายสูงกว่าการจัดฟันแบบโลหะ
ระยะเวลา: 6 เดือนเป็นต้นไป ขึ้นอยู่กับแผนการรักษาและปัญหาฟันของคนไข้

A title
Image Box text
“จัดฟันใส invisalign ถอดได้ ไม่ต้องติดเครื่องมือจัดฟัน เหมาะสำหรับคนที่ใช้ชีวิตอิสระ ไม่มีข้อจำกัด”
ข้อมูลเพิ่มเติม : จัดฟันแบบใส invisalign ถอดได้ทุกที่ ไม่เห็นเครื่องมือ (คลิก)
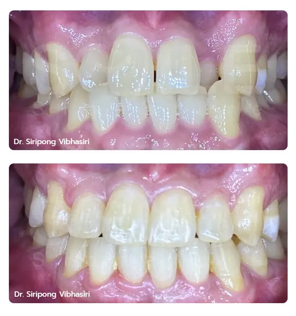
Before-After ตัวอย่างภาพการรักษาการจัดฟัน

A title
Image Box text

A title
Image Box text

A title
Image Box text

A title
Image Box text

A title
Image Box text

A title
Image Box text
ภาพการรักษาจัดฟันโลหะ, จัดฟันเซรามิก, จัดฟันดามอน (Damon System / Self-Ligating Braces), จัดฟันแบบใส Invisalign (Clear Aligners) สามารถดูเพิ่มเติมได้ที่นี่ (คลิก)
ลองดูรีวิวจริงของผู้ใช้บริการ Smile Signature ที่ตัดสินใจเปลี่ยนรอยยิ้ม ด้วยการจัดฟัน
เราพร้อมมอบการดูแลที่ครบถ้วน เพื่อให้คุณจัดฟันได้สะดวกและมั่นใจในผลลัพธ์
5 ขั้นตอนการจัดฟันครั้งแรก
ก่อนเริ่มจัดฟัน ควรให้ความสำคัญกับการสำรวจสภาพฟันและช่องปากของตัวเองอย่างละเอียด ทำความเข้าใจว่ามีปัญหาอะไรที่ต้องการแก้ไข จากนั้นจึงศึกษารูปแบบการจัดฟันแต่ละประเภท รวมถึงระยะเวลาในการรักษาที่เหมาะสมกับไลฟ์สไตล์ตัวเอง สิ่งสำคัญอีกอย่างคือประเมินค่าใช้จ่ายทั้งหมด ตั้งแต่การเคลียร์ช่องปากจนถึงการจัดฟัน เพื่อช่วยให้ตัดสินใจเลือกวิธีรักษาที่เหมาะสมและคุ้มค่าที่สุด
เรามาดูกันว่า 5 ขั้นตอนสำคัญสำหรับการจัดฟันครั้งแรก มีอะไรบ้าง

1. การตรวจวินิจฉัยและวางแผน
ในนัดหมายครั้งแรก ทันตแพทย์จะตรวจสุขภาพช่องปากก่อน พร้อมทั้งเอ็กซเรย์ฟัน และถ่ายภาพรังสี เพื่อใช้ในการประเมินแผนการจัดฟัน ในขั้นตอนนี้คนไข้ควรแจ้งและปรึกษาปัญหาฟันที่ต้องการแก้ไขให้ชัดเจน

2.จัดทำประวัติการรักษา
เมื่อตัดสินใจทำการรักษาตามแผนที่ทันตแพทย์ออกแบบให้แล้ว ทันตแพทย์จะพิมพ์ปากคนไข้ เพื่อทำประวัติก่อนการรักษา

3.เคลียร์ช่องปาก (ถ้าจำเป็น)
ในคนไข้บางรายที่จำเป็นต้องเคลียร์ช่องปาก เช่น ขูดหินปูน ถอนฟัน อุดฟัน ผ่าฟันคุด ก็จำเป็นต้องจัดการให้เรียบร้อยเสียก่อน

4. ติดตั้งเครื่องมือ
นัดหมายติดเครื่องมือคนไข้ที่จัดฟันครั้งแรก ทันตแพทย์จะติดเครื่องมือให้ทีละด้าน เพื่อให้เกิดความคุ้นชินก่อน ถึงจะนัดหมายมาติดอีกด้านในครั้งถัดไป ทั้งนี้ขึ้นอยู่กับความต้องการของคนไข้ด้วย

5.นัดติดตามผลและเปลี่ยนเครื่องมือ
นัดหมายเปลี่ยนเครื่องมือ โดยปกติจะนัดทุกๆ 1-2 เดือนครั้ง ตามแผนการรักษาตลอดการจัดฟัน
ราคาในการจัดฟัน และงบประมาณที่ต้องเตรียม
ในการจัดฟันครั้งแรกนั้น ราคาจะขึ้นอยู่กับหลายปัจจัยด้วย ทั้งสุขภาพช่องปากที่ต้องแก้ไขก่อนการรักษา เช่น อุดฟัน ถอนฟัน ขูดหินปูน ผ่าฟันคุด ประเภทการจัดฟันที่เลือก และโปรโมชั่นในช่วงเวลานั้นๆ
ราคาเบื้องต้นที่ควรเตรียม แบ่งเป็น 3 ช่วง ได้แก่:
ช่วงเตรียมตัวก่อนจัดฟัน
-
✔
ตรวจวินิจฉัยและวางแผน – ไม่มีค่าใช้จ่าย เพื่อให้คุณมั่นใจก่อนเริ่มจัดฟัน
-
✔
ราคาเอ็กซเรย์ฟัน – เพื่อดูตำแหน่งฟันและโครงสร้างขากรรไกร
-
✔
ราคาถ่ายภาพรังสี (บางกรณี) – เพิ่มความแม่นยำในการวิเคราะห์
-
✔
ราคาพิมพ์ปาก – ใช้สำหรับออกแบบการจัดฟันเฉพาะบุคคล
-
✔
ราคารักษาสุขภาพช่องปากก่อนจัดฟัน – เพื่อให้ฟันแข็งแรง พร้อมรับการจัดฟันอย่างมีประสิทธิภาพ
ช่วงทำการรักษาและติดเครื่องมือจัดฟัน
-
✔
ราคาปรับเครื่องมือรายเดือน – แตกต่างตามประเภทการจัดฟันที่เลือก พร้อมโปรโมชั่นพิเศษในแต่ละช่วงเวลา
-
✔
ราคาทันตกรรมเพิ่มเติม – อาจมีหากพบปัญหาสุขภาพช่องปากระหว่างการรักษา เช่น ขูดหินปูน อุดฟันผุ หรือในบางกรณีที่มีปัญหาการสบฟันลึก ทันตแพทย์อาจแนะนำเครื่องมือเสริม เช่น Bite Turbo หรือ การฝังหมุดจัดฟัน (Mini Screw) ทั้งนี้ขึ้นอยู่กับการประเมินเฉพาะบุคคล
ช่วงหลังถอดเครื่องมือจัดฟัน
-
✔
ถอดเครื่องมือและทำความสะอาดฟัน – ไม่มีค่าใช้จ่าย
-
✔
ราคารีเทนเนอร์ – เพื่อคงรูปฟันสวยหลังการจัดฟัน
ฟันเหยิน ฟันซ้อน อยากสวยเป๊ะ
อย่ามัวลังเล คลิกดูราคาจัดฟัน พร้อมแพ็กเกจผ่อนสบายที่นี่เลย
การดูแลช่องปากหลังติดเครื่องมือจัดฟัน
สำหรับการจัดฟันที่มีเครื่องมือติดบริเวณผิวฟัน จะเป็นจุดสะสมของคราบอาหารและคราบพลัคได้ง่ายกว่าการจัดฟันแบบใส (Clear Aligner) ที่สามารถถอดมาทำความสะอาดได้ การดูแลช่องปากจึงต้องใส่ใจเป็นพิเศษ เพื่อป้องกันฟันผุและเหงือกอักเสบระหว่างการรักษา
1. แปรงฟันทุกครั้งหลังอาหาร โดยเฉพาะบริเวณรอบๆ Bracket และลวดจัดฟัน
2. ใช้ไหมขัดฟันสำหรับจัดฟัน ทำความสะอาดอย่างสม่ำเสมอ
3. ใช้น้ำยาบ้วนปาก ที่ผสมฟลูออไรด์เพื่อช่วยลดการเกิดฟันผุ
4. หลีกเลี่ยงอาหารบางประเภท เช่น

A title
Image Box text
อาหารเหนียวหรือหนึบ คาราเมล ลูกอม หรือหมากฝรั่ง มักจะติดค้างตามซอกฟันและ Bracket ได้ง่าย เมื่อสะสมเป็นคราบจะยากต่อการทำความสะอาด และเพิ่มความเสี่ยงต่อการเกิดฟันผุและเหงือกอักเสบในระหว่างการจัดฟัน
5. ตรวจสุขภาพฟัน และขูดหินปูนทุกๆ 6 เดือน ตามคำแนะนำของทันตแพทย์
จัดฟันครั้งแรกต้องเลือกหมอหรือคลินิกอย่างไร
การตัดสินใจ จัดฟันครั้งแรก เป็นการลงทุนสำคัญเพื่อสุขภาพช่องปากและรอยยิ้มในระยะยาว เพราะการรักษาใช้เวลาต่อเนื่องนานหลายปี การเลือกคลินิกและทันตแพทย์ที่เหมาะสมจึงเป็นปัจจัยที่สำคัญอันดับต้นๆ สำหรับใครที่กำลังมองหาคลินิกจัดฟันที่ได้มาตรฐาน คลินิกทันตกรรมสไมล์ ซิกเนเจอร์ ที่นี่ดูแลการรักษาโดยทันตแพทย์เฉพาะทางจัดฟันทุกเคส ทำให้มั่นใจได้ว่าทุกขั้นตอนจะถูกวางแผนอย่างมืออาชีพและปลอดภัย
มาตรฐานและความปลอดภัยคือสิ่งที่เราให้ความสำคัญ คลินิกทันตกรรมสไมล์ ซิกเนเจอร์ ได้รับการรับรองตามมาตรฐาน ISO 9001:2015 (รัชดาภิเษกสำนักงานใหญ่) และการันตีด้วยรางวัลด้านทันตกรรมมากมาย รวมถึงการเป็นผู้ให้บริการจัดฟันใส Invisalign ระดับ Black Diamond Provider ซึ่งสะท้อนถึงประสบการณ์และความเชี่ยวชาญในการรักษาด้วยเทคโนโลยีที่ทันสมัย นอกจากนี้ การมีเครือข่ายสาขาครอบคลุมทั้งในกรุงเทพและปริมณฑลยังช่วยให้การเดินทางไปพบทันตแพทย์เป็นเรื่องง่ายและสะดวกสบาย
เพราะรอยยิ้มสวยเริ่มต้นจากการดูแลที่จริงใจ มาทำความรู้จักคุณหมอของเรา
คำถามที่พบบ่อยเกี่ยวกับการจัดฟันครั้งแรก
ตอบ ไม่จำเป็นต้องถอนฟันเสมอไป การตัดสินใจขึ้นอยู่กับการวินิจฉัยและแผนการรักษาของทันตแพทย์ โดยพิจารณาจากหลายปัจจัย เช่น ปัญหาฟันและความต้องการของคนไข้
ตอบ อาการปวดตึงเป็นเรื่องปกติหลังการติดเครื่องมือจัดฟันครั้งแรก อาการมักจะหายไปเองภายใน 2-3 วัน
ตอบ ทานยาแก้ปวดบรรเทาอาการ ประคบเย็น และทานอาหารอ่อนๆ ลดการปวดตึง ในบางรายอาจจะมีแผลร้อนในร่วมด้วย ให้ใช้เจลลดอักเสบหรือขี้ผึ้ง เช่น Oracortia, Trinolone ทาบางๆ ที่แผลหลังอาหารและก่อนนอน
ตอบ ในช่วง 2-3 วันแรก ควรทานอาหารอ่อน เช่น โจ๊ก ข้าวต้ม ซุป หรือไข่ตุ๋น หลังจากอาการดีขึ้นแล้ว สามารถทานอาหารได้ตามปกติ แต่ควรหลีกเลี่ยงอาหารแข็ง กรอบ เหนียว หรืออาหารที่ต้องใช้แรงกัดมาก เพื่อป้องกันเครื่องมือหลุด
ตอบ การแปรงฟันอย่างถูกวิธีร่วมกับการใช้ไหมขัดฟัน สิ่งสำคัญคือการดูแลอย่างสม่ำเสมอ
ข้อมูลเพิ่มเติม : ไหมขัดฟัน (Dental floss) มีกี่แบบ? (คลิก)
ตอบ เป็นโอกาสที่เกิดขึ้นได้น้อย เพราะทุกครั้งที่เข้าพบทันตแพทย์เพื่อปรับเครื่องมือ จะมีการตรวจเช็กสุขภาพช่องปากอย่างสม่ำเสมอ แต่ถ้าหากพบว่ามีฟันผุ ทันตแพทย์จะถอดลวดออกก่อน แล้วทำการอุดฟันหรือรักษาตามความเหมาะสม หลังจากนั้นจึงใส่ลวดกลับเข้าไปตามปกติ
สิ่งสำคัญคือ คนไข้ควรหมั่นสังเกตตนเอง และดูแลความสะอาดช่องปากอย่างเคร่งครัด เพื่อป้องกันไม่ให้เกิดฟันผุระหว่างการจัดฟัน
ตอบ การจัดฟันไม่มีข้อจำกัดด้านอายุ ผู้ใหญ่หรือเด็กก็สามารถจัดได้ ขึ้นอยู่กับสุขภาพช่องปากโดยรวม หากไม่มีปัญหาโรคเหงือกหรือกระดู และทันตแพทย์ประเมินแล้วว่าเหมาะสม ก็สามารถจัดฟันได้
ตอบ ดัดฟันสามารถทำให้รูปหน้าเปลี่ยนได้ แต่จะเปลี่ยนมากหรือน้อย ขึ้นอยู่กับปัญหาฟันและโครงสร้างขากรรไกรของแต่ละคน
สรุป
การจัดฟันครั้งแรก คือจุดเริ่มต้นของการเปลี่ยนรอยยิ้มและสุขภาพช่องปาก แต่ความสำเร็จขึ้นอยู่กับการตัดสินใจเลือกคลินิกทันตกรรมและประเภทการจัดฟันที่เหมาะสม หากเข้าใจข้อมูลครบถ้วนตั้งแต่แรก จะช่วยให้ตัดสินใจได้ง่ายขึ้นและได้ผลลัพธ์ของรอยยิ้มที่ดีที่สุด
สอบถามเพิ่มเติมเกี่ยวกับการดูแลรักษาฟัน และรับคำปรึกษาได้ที่ Smile Signature ทุกสาขา
โทร : 083 095 0218 หรือ Line :
ข้อมูลจาก :
- การศึกษาเปรียบเทียบแรงยึดเชิงกลของแบรกเกตเซรามิก 3 ชนิดที่มีลักษณะของฐานแตกต่างกัน (คลิก)
ติดต่อเรา สไมล์ ซิกเนเจอร์ คลินิกทันตกรรม
คลินิกทันตกรรม สไมล์ ซิกเนเจอร์ รัชดาภิเษก
เลขที่ 257/26, 257/27 โครงการ The Wiz Ratchada
ถนนรัชดาภิเษก แขวงดินแดง เขตดินแดง กรุงเทพ 10400
(ใกล้กับรถไฟฟ้าใต้ดิน MRT สถานีรัชดาภิเษก ทางออกที่ 1)
มือถือ : 083 095 0218
โทรศัพท์ : 02 693 6933, 02 693 7822
Line ID : @smilesignature
คลินิกทันตกรรม สไมล์ ซิกเนเจอร์
ทุกสาขาใกล้บ้านคุณ