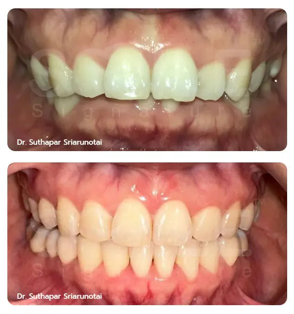
ภาพการรักษาฟัน รีวิวทำฟัน Smile Signature 
ทำฟัน ที่ สไมล์ ซิกเนเจอร์ คุณจะได้รับบริการ งานรักษา ที่ได้มาตราฐานคุณภาพจากทีมทันตแพทย์ผู้มากประสบการณ์ พร้อมทั้งการให้บริการด้วยรอยยิ้ม เครื่องมือที่สะอาดผ่านการฆ่าเชื้ออย่างถูกวิธี และระบบการให้บริการในระดับสากล จาก คลินิกทันตกรรม Smile Signature เพื่อให้คุณเกิดความประทับใจในการบริการที่มีคุณภาพ รวดเร็ว และปลอดภัย
*ข้อจำกัดความรับผิด: ผลลัพธ์การรักษาขึ้นอยู่กับการตอบสนองของแต่ละบุคคล
สนใจทำการนัดหมายกับ คลินิกทันตกรรมสไมล์ ซิกเนเจอร์ ทุกสาขาได้ที่ contact@smilesignature.com
เบอร์โทรศัพท์ 083-095-0218 หรือ แต่ละสาขาด้านล่าง

