ภาพการรักษาทำฟัน จัดฟัน รากเทียม

ฟอกสีฟัน แก้ฟันเหลือง : Tooth Whitening/Cool Light – In office

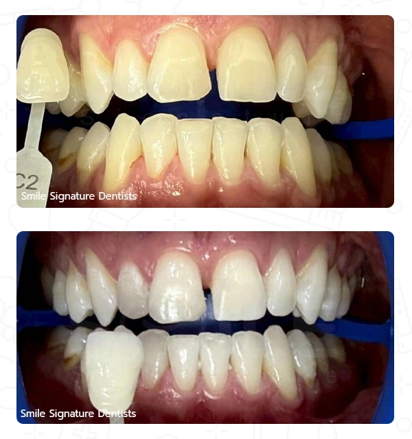
ฟอกสีฟันทั้งแบบ Zoom Whitening และ Cool Light ใช้เวลาในการทำไม่นาน สะดวก เหมาะสำหรับผู้ที่ไม่ค่อยมีเวลา ทำที่คลินิกภายใต้การดูแลโดยทันตแพทย์

ฟอกสีฟัน Zoom Whitening

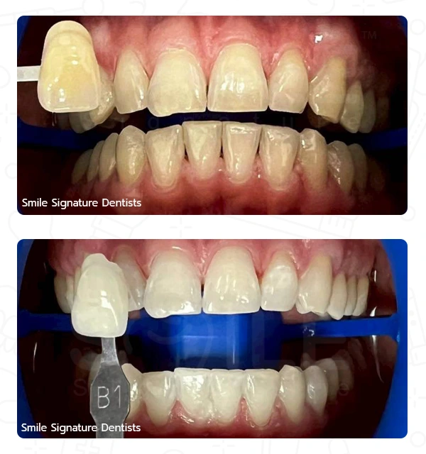
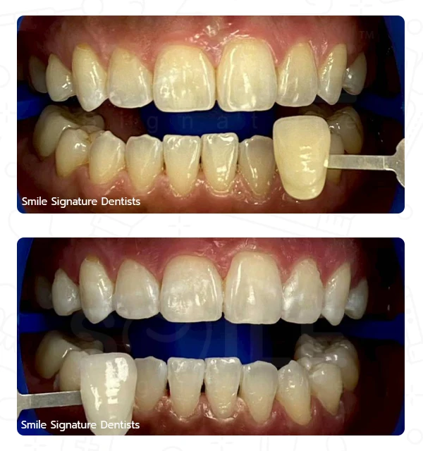
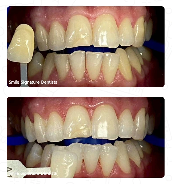
Before After ฟอกสีฟัน Zoom
ราคาฟอกสีฟัน Zoom

ฟอกฟันขาว Cool Light

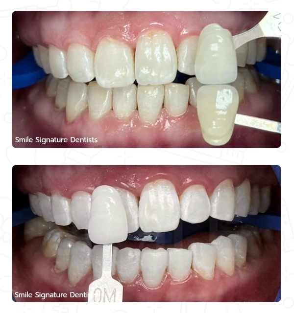
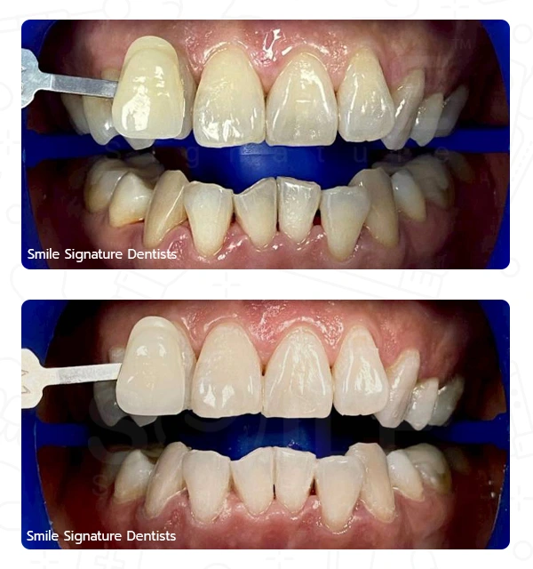
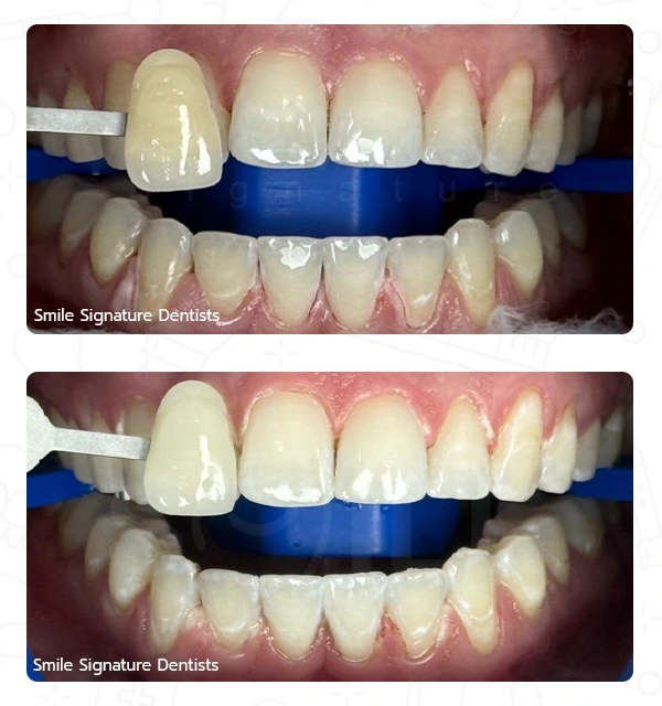
Before/After ฟอกสีฟัน Cool Light

*ข้อจำกัดความรับผิด: ผลลัพธ์การรักษาขึ้นอยู่กับการตอบสนองของแต่ละบุคคล

สนใจทำการนัดหมายกับ สไมล์ ซิกเนเจอร์ ทุกสาขาได้ที่ คลินิกทันตกรรม ใกล้บ้านคุณ

เบอร์โทรศัพท์ 083-095-0218 หรือ contact@smilesignature.com